We develop and test models of amyotrophic lateral sclerosis (ALS) in mice to better understand motor neuron degeneration and develop treatments.
We analyze mouse models using cell and molecular biology and biochemistry techniques. We treat mouse models using novel compounds to test therapy.
ALS is always fatal. We aim to find new cures for moto neuron degeneration in this disease that affects over 30,000 people in the United States.
We are a collaborative and tight-knit group of researchers.
Protein citrullination in amyotrophic lateral sclerosis and other neurodgenerative diseases.
Yusuf IO, Camille W, Thompson PR, Xu Z.
J Exp Neurol. 2024;5(4):183-191. doi: 10.33696/neurol.5.101. PMID: 39712644; PMCID: PMC11661818.
Protein citrullination marks myelin protein aggregation and disease progression in mouse ALS models.
Yusuf IO, Qiao T, Parsi S, Tilvawala R, Thompson PR, Xu Z.
Acta Neuropathol Commun. 2022 Sep 8;10(1):135. doi: 10.1186/s40478-022-01433-5. PMID: 36076282; PMCID: PMC9458309.
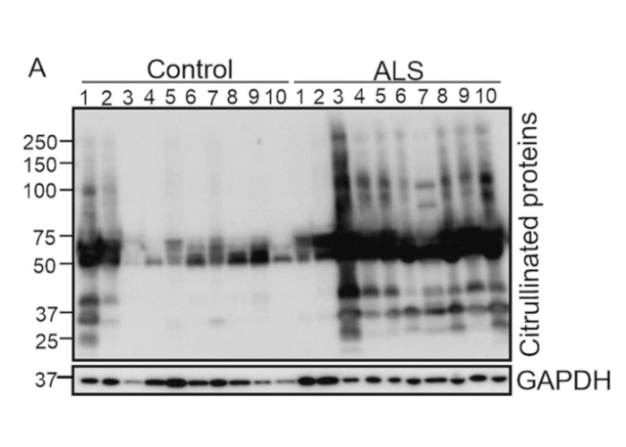
PAD2 dysregulation and aberrant protein citrullination feature prominently in reactive astrogliosis and myelin protein aggregation in sporadic ALS.
Yusuf IO, Parsi S, Ostrow LW, Brown RH, Thompson PR, Xu Z.
Neurobiol Dis. 2024 Mar;192:106414. doi: 10.1016/j.nbd.2024.106414. Epub 2024 Jan 21. PMID: 38253209; PMCID: PMC11003460.