Abdominal Aortic Aneurysm Mouse Model
Abdominal aortic aneurysm (AAA) is a common degenerative disorder associated with sudden death due to aortic rupture. Current therapy is endovascular stents or open surgical repair of the aorta, excluding the aneurysm from the circulation. There are a number of different animal models of abdominal aortic aneurysm. Large animal models are mostly used to develop novel surgical methods to treat abdominal aortic aneurysms. Small animal models developed in rodents, are employed to further understand the mechanisms involved in development of abdominal aortic aneurysm in order to identify potential new medical treatments.
Mouse Optimized model:
Groups of High Fat Diet with control diet for 60 to 90 days. Implantation of Alzet mini-pump model 2004, delivering Angiotensin II over a 28 day period.
Quantification of Mouse AAA/TAA:
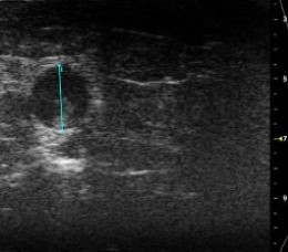
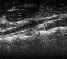
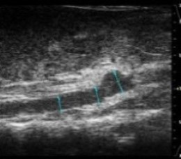
- in vivo VisualSonics Vivo 2100 vascular imaging
- Micron-scale computed tomography (Micro CT/Micro PET)
- Whole Body composition analysis
- Aortic Harvest with ex vivo measurement of aortic diameter
- Histological analysis
- Wire Myography
A formations, 28 Days Ang II, 90 Days 60% High Fat Diet

Abdominal Echo's performed 24 hours prior to sac using VisualSonics Vivo 2100
