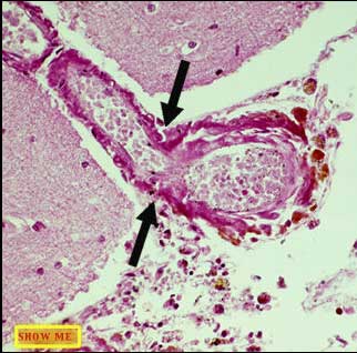
Can you find the abnormal beta amyloid protein?
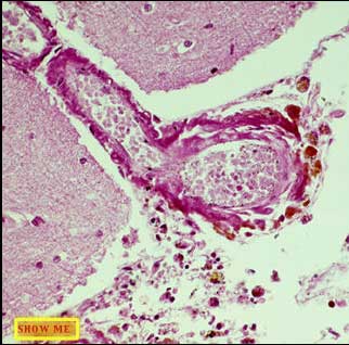
click to view answer