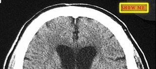
Identify areas of ischemia.