Page Menu

Current Research Topics in the Gregory Lab

METTL3 Cancer

 Two-part image showing immunohistochemistry staining of a tumor on the left and a chemical structure on the right.

RNA Methylation

 Three-dimensional representation of an RNA molecule in orange alongside a chemical structure of a methylated residue.

DIS3L2 Disease

 On the left, a three-dimensional structure of the protein DIS3L2 in purple interacting with RNA in orange; on the right, a photo of a newborn in the hospital.

LIN28 Oncogene

 Two-part image showing a Kaplan-Meier plot on the left, and a ball model of LIN28 interacting with RNA on the right.

RNA Regulation in Stem Cells

 A ball of cells glowing fluorescent green.

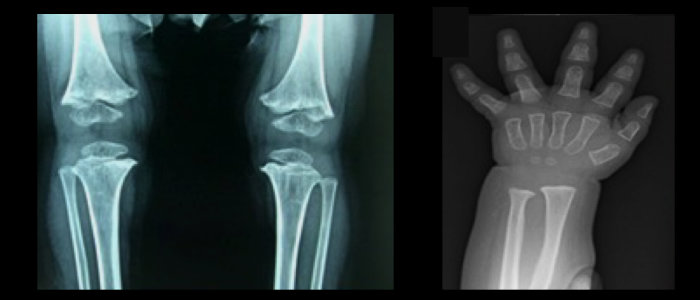
RNA Development & Disease

 X-ray images showing a child's knee joint on the left and a child's hand on the right.