Metabolism
Abnormal metabolism is a hallmark of type 2 diabetes and cancer. Lifestyle choices (e.g. dietary habits, exercise) and genetics influence metabolic health, but how these factors integrate at the cellular, molecular and biochemical level is not well understood.
Another goal of our research is to understand how diverse cells sense and respond to varying levels of nutrients (e.g. carbohydrates, fats and proteins), and how over-nutrition, poor nutrient quality and/or genetic mutations can alter nutrient sensing pathways and metabolic pathways to cause disease. Learn More
Obesity and Cancer
Overweight and obese individuals are also at a much greater risk for certain cancers (including breast, esophagus, colorectal, endometrial, gallbladder, kidney and pancreatic). Why this is the case is not well understood. However, the connection between obesity and cancer clearly indicates that metabolic health is a major factor in tumor growth as well as in drug resistance and relapse. We would like to mechanistically understand the links between metabolic health and cancer, especially the role of adipose tissue, both to understand what fuels cancer progression and to identify new strategies for cancer treatment and prevention.
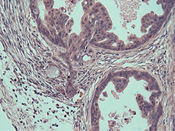
(above) Prostate cancer cells invading the surrounding stroma