Search Close Search

The scientific focus of our lab is on the contribution of platelets to the immune response during viral infections and the consequent implication of that response to cardiovascular disease.

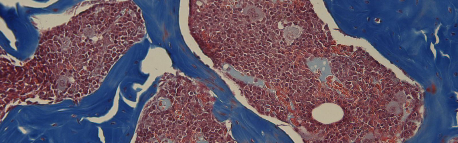
Our Lab's Research

  • Platelets and Respiratory Viruses

    • Mechanisms of recognizing and sensing respiratory viruses in platelets
  • Platelets and MKs During Infection

    • Megakaryocyte-mediated platelet changes During Infection
  • Platelets and Leukocytes During Infection

    • Platelet-leukocyte Interactions During Infection

Our lab believes that the future of scientific discovery rests in the hands of creative minds and productive collaborations between scientists from diverse backgrounds and cultures.  We welcome anyone with a passion and love for science and improving health disparities.

For additional information about projects or joining the lab, contact Dr. Koupenova @ milka.koupenova@umassmed.edu

Page Menu