Morphology Core Facility

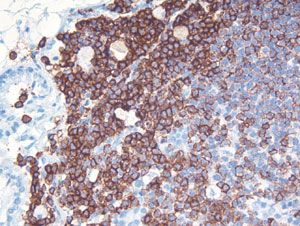
Human CD45 staining in mouse thymus

Established in 1981, the Morphology Core is headed by Dr. Bruce Woda, MD, Professor of the Pathology Department.
This facility is a state-of-the-art, fully equipped histology lab that provides histology services in support of investigators at UMass Chan Medical School, including:
- routine histological preparations
- special stains
- immunohistochemistry
- frozen sections
The core provides advice on techniques that are appropriate in submitting and evaluating morphologic preparations.
You are welcome to drop in and discuss your research needs.
Location: Room S5-315 (fifth floor, student lab wing, of the UMass Chan Medical School)
Hours: 9:00 AM-5:00 PM, Monday-Friday
Phone: 508-856-5639 or 508-856-1198
Fax: 508-856-5030