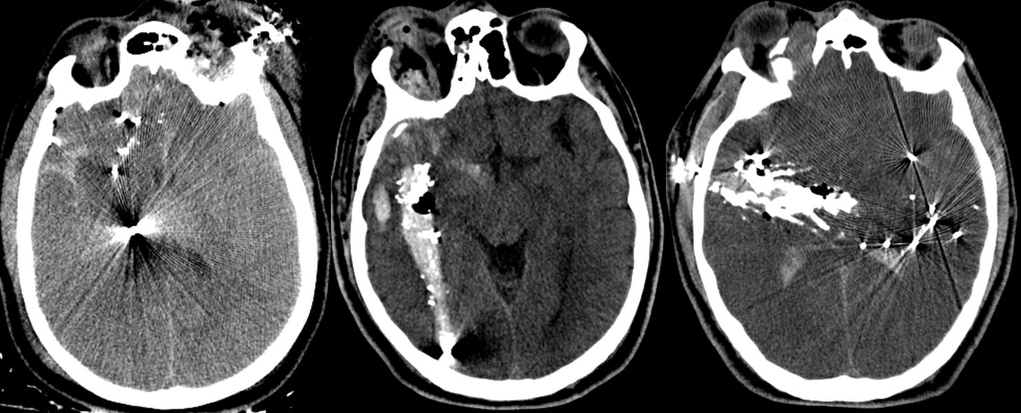
Outcome Prediction in Penetrating Brain Injury
In collaboration with several other trauma
centers (University of Maryland Shock Trauma, Yale, Baylor College of Medicine and Vanderbilt Medical Center), our group has created the SPIN-score (Muehlschlegel S, Ayturk D, Ahlawat A, et al.) to predict survival after penetrating brain injury. We are currently working hard to validate this parsimonious logistic regression prediction score. (This has been featured in Neurology Today).
