Search Close Search
 UMassHomePage (2).jpg

Continuing the Tradition of Compassion, Excellence and Innovation

Page Menu

Leaders in Neurological Surgery

 SurgeonsOperatingHomePage.jpg

Meeting the neurosurgical needs of New England, UMass Memorial Medical Center offers cutting edge neurosurgical treatments, combining world-class physician expertise with compassionate care in a multispecialty, collaborative setting.


USA Today reports on first baby in gene therapy clinical trial for Sandhoff, Tay-Sachs diseases
Investigational treatment for rare and fatal genetic disorders based on discoveries made at UMass Chan Medical School
Read the full USA Today report, published April 25, at: An experimental gene therapy was little Alissa's only hope. Now, instead of certain death, she faces an uncertain future.


Mark D. Johnson, MD, PhD, Newest Addition to Sontag Foundation Scientific Advisory Board
more information...


UMass Surgeon Making Mark on Medicine
Worcester Telegram article...

Mark-Johnson-original.png
Mark D. Johnson, MD, PhD, Chair, Neurological Surgery


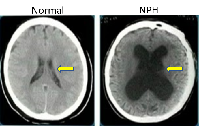
Research by Mark Johnson Provides Insights into Origins of Idiopathic Normal Pressure Hydrocephalus
more information...


New Research Grant to Study Normal Pressure Hydrocephalus
more information...

Neurological Surgery Residency Program
more information...


Rrita Daci, MD (PGY6) and Mark Johnson, MD, PhD
Chair, Department of Neurological Surgery


LISTEN: For Mark Johnson, neurological surgery is never ‘routine, mundane and inconsequential’

Innovative Neurosurgical Technique used in Tay-Sachs Gene Therapy Clinical Trial
more information...



Oguz Cataltepe, MD
, neurosurgeon from UMass Memorial Medical Center in Worcester, Massachusetts uses robotic tools to assist in a brain procedure on an epilepsy patient.
View Boston 25 News video