Research

The major goals of the Orzalli Lab are to understand how non-hematopoietic cells contribute to antiviral immunity in human skin and how viruses modulate signaling pathways in these cell types to subvert the host immune response. We study a variety of viral pathogens, including herpes simplex virus 1 and vesicular stomatitis virus, to gain insight into common and unique strategies employed by the host to defend against distinct viruses.
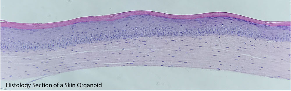
In addition, our laboratory uses human skin equivalents (HSEs) to study cell-to-cell communication in human skin following viral infection and in response to inflammatory stimuli. HSEs are in vitro tissues that consist of a stratified squamous epithelium grown at an air-liquid interface on a collagen matrix populated with dermal fibroblasts. These tissues provide an in vivo-like system to study biologically meaningful crosstalk between the epidermis and dermis of human skin.