Welcome to the Pitarresi Lab

Research focus

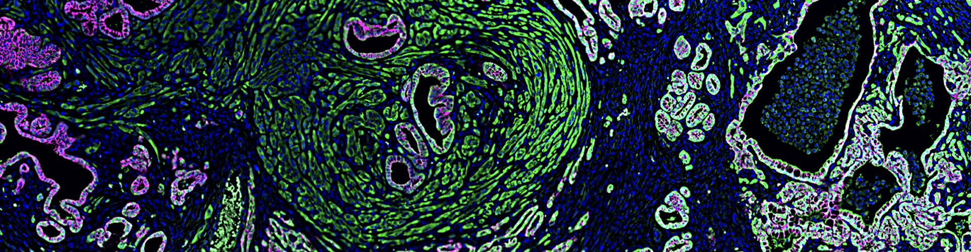
  • Understanding mechanisms of cellular plasticity that facilitate metastasis
    • Mechanism of epithelial-to-mesenchymal transition (EMT)
    • Building novel genetically engineered mouse models to study epithelial plasticity and squamous/basal/quasimesenchymal subtypes in pancreatic cancer progression
    • Therapeutic vulnerabilities in the metastatic cascade and squamous PDAC subtype
  • Immune oncology
    • Defining how tumors mediate host immune suppression
    • Mechanisms of MDSC mobilization and recruitment to tumors
    • Finding new therapeutic avenues to synergize with immunotherapies
  • Cancer cachexia and adipose tissue wasting
    • Using mouse models to define novel tumor-derived factors that drive pancreatic cancer cachexia
    • Finding new druggable targets to disrupt tumor-adipose crosstalk

Representative publications

  • Pitarresi JR, Norgard RJ, Chiarella AM, Suzuki K, Bakir B, Sahu V, Li J, Zhao J, Marchand B, Wengyn MD, Hsieh A, Kim IK, Zhang A, Sellin K, Lee V, Takano S, Miyahara Y, Ohtsuka M, Maitra A, Notta F, Kremer R, Stanger BZ, Rustgi AK. PTHrP Drives Pancreatic Cancer Growth and Metastasis and Reveals a New Therapeutic Vulnerability. Cancer Discov. 2021 Jul;11(7):1774-1791. 

  • Norgard RJ, Pitarresi JR, Maddipati R, Aiello-Couzo NM, Balli D, Li J, Yamazoe T, Wengyn MD, Millstein ID, Folkert IW, Rosario-Berrios DN, Kim IK, Bassett JB, Payne R, Berry CT, Feng X, Sun K, Cioffi M, Chakraborty P, Jolly MK, Gutkind JS, Lyden D, Freedman BD, Foskett JK, Rustgi AK, Stanger BZ. Calcium signaling induces a partial EMT. EMBO Rep. 2021 Sep 6;22(9):e51872.

  • Reichert M, Bakir B, Moreira L, Pitarresi JR, Feldmann K, Simon L, Suzuki K, Maddipati R, Rhim AD, Schlitter AM, Kriegsmann M, Weichert W, Wirth M, Schuck K, Schneider G, Saur D, Reynolds AB, Klein-Szanto AJ, Pehlivanoglu B, Memis B, Adsay NV, Rustgi AK. Regulation of Epithelial Plasticity Determines Metastatic Organotropism in Pancreatic Cancer. Dev Cell. 2018 Jun 18;45(6):696-711.e8. 
     

More Publications

cellular plasticity

Join our team

We are actively recruiting at all levels, please contact Jason Pitarresi for more details.

Page Menu