Search Close Search
Page Menu

Letter of Praise

Drs. Alan Goldstein and Andrew Bennett

Date Posted: Monday, November 21, 2016
Andrew Bennett, MD, PhD Assistant Professor of Radiology at UMass Chan Medical School Alan J Goldstein, MD - Radiology UMass Chan Medical School
Dr. Andrew Bennett Dr. Alan Goldstein

Hi,
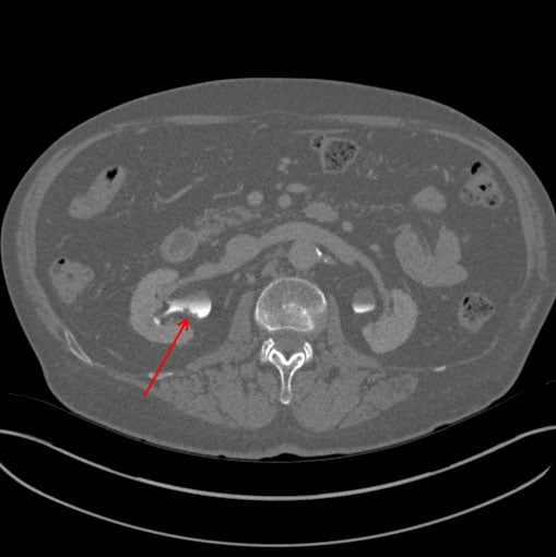
Thanks to Dr.s Goldstein and Bennett for picking up the subtle R renal collecting system abn on the vascular CT- my resident and I struggled to see these filling defects they were so subtle.

We just took him to OR- he indeed had a tumor in the renal pelvis. We ablated with laser- there is a relatively high likelihood it will recur – but will attempt conservative therapy with laser ablation/surveillance to avoid need for nephrectomy (history CRI).

Had this lesion been missed on the CT no doubt the tumor would have grown undetected (he had zero symptoms) until it was too large to ablate.

Thanks
Jen
 
Jennifer Yates, M.D.
Assistant Professor, Department of Urology
Urology Residency Program Director
UMass Chan Medical School
UMMHC

Renal CT - Department of Radiology UMass Chan Medical School