Ultrastructural Studies
Ultrastructural Studies
- N3 Lab: Laboratory for Neuromorphology and Network Neurodynamics
- Research
- Neuromorphology
- Ultrastructural Studies
- Ultrastructural Studies of the Human Cortex
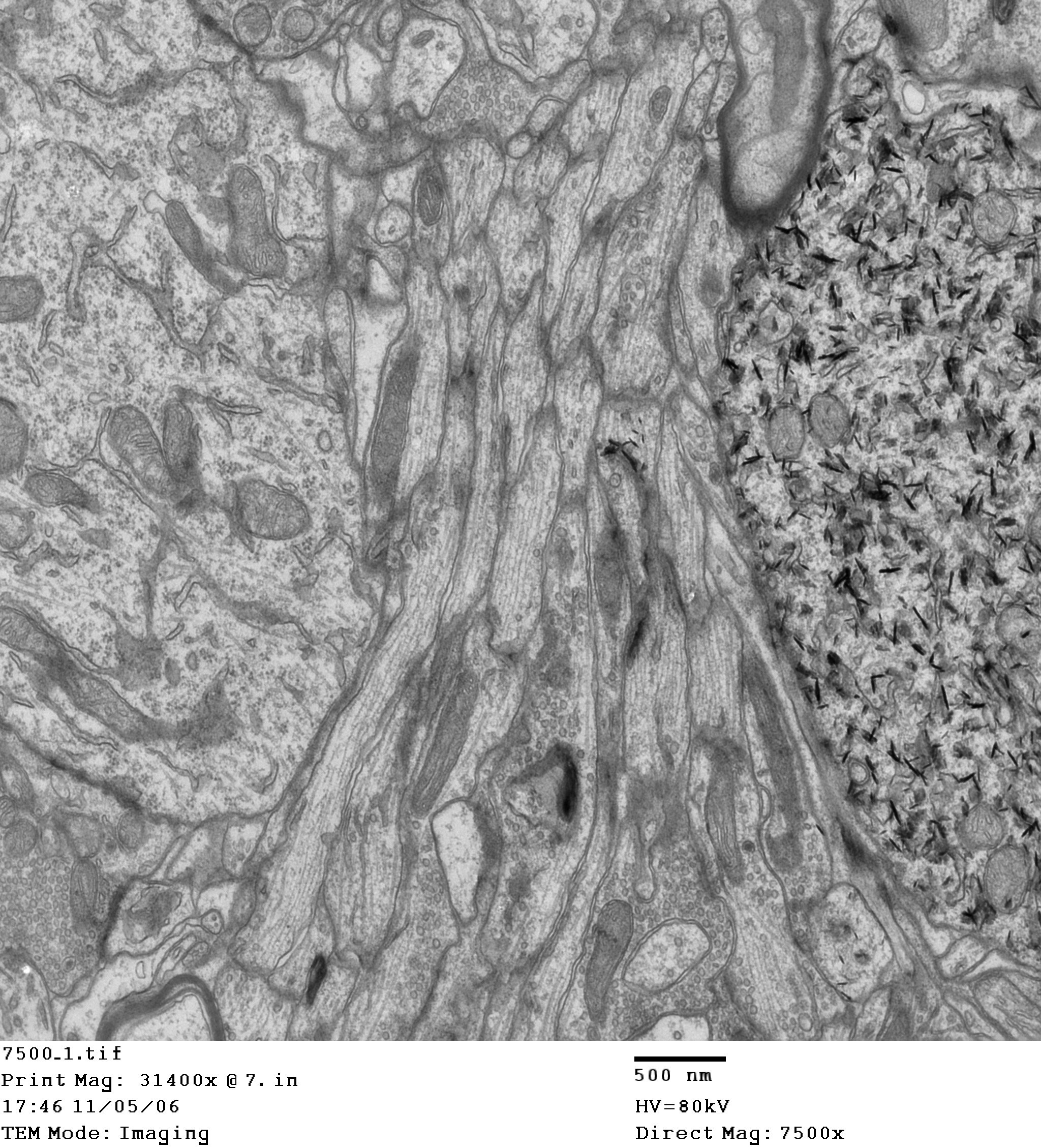
Electron Microscopy of human cortex
Gap junctions



